Osteochondrose Es handelt sich um eine Weltklasse-Krankheit, da davon Menschen auf der ganzen Welt betroffen sind (40–90 %). Diese Pathologie tritt in den meisten Fällen bei Menschen im reifen Alter nach 30 Jahren auf. Rückenschmerzen im Alltag werden häufig auf diese Erkrankung zurückgeführt. In unserem Artikel werden wir uns die Symptome im Detail ansehen, die Ursachen und Behandlungsmethoden der Osteochondrose herausfinden. In der Medizin wird diese Krankheit als Läsion des Rückenmarksgewebes degenerativ-dystrophischer Natur bezeichnet. Mit der Osteochondrose gehen Verletzungen der Bandscheiben, Gelenkflächen, Wirbelkörper und Bänder einher. In der Regel sind bei Osteochondrose zunächst Knochen und Bänder betroffen.
Die Entwicklung einer Osteochondrose verläuft in mehreren Stadien. Schauen wir sie uns genauer an:
- Osteochondrose sieht im Anfangsstadium wie eine Dehydrierung des Nucleus Pulposus aus, die zu einer Verschlechterung der Position der Wirbel führt. Um es dem Leser klarer zu machen, erklären wir, was der Nucleus Pulposus ist. Dieser medizinische Begriff bezieht sich auf das Innere der Bandscheibe, das aus halbflüssigen (Bindegewebsfasern) und gallertartigen (Chondrin) Bestandteilen besteht. Während dieser Zeit treten beim Patienten Risse im Anulus fibrosus auf.
- Das nächste Stadium hängt eng mit dem vorherigen zusammen: Aufgrund eines Wirbelvorfalls erschlaffen Bänder und Muskeln. Dieser Zustand führt zu einem motorischen Ungleichgewicht der Wirbel. Diese Periode ist durch Spondylolisthesis oder, vereinfacht ausgedrückt, die Verschiebung der Wirbel gekennzeichnet.
- Das dritte Stadium der Entwicklung der Osteochondrose ist für einen gewöhnlichen Menschen durch auffälligere Manifestationen gekennzeichnet: Vorwölbungen der Bandscheiben (Vorwölbungen ihres Inhalts) und Arthrose.
- Das Endstadium der Osteochondrose ist mit Osteophyten verbunden. Wenn unser Körper die „Lockerheit“ der Wirbel bemerkt, versucht er, die Wirbelsäule wieder in ihre ursprünglichen Funktionen zu versetzen: Unterstützung und Schutz. Um dies zu erreichen, entstehen auf den Oberflächen der Wirbel Knochenwucherungen, die Osteophyten genannt werden. Im gleichen Zeitraum wächst faseriges Gewebe. Das Ergebnis dieser Prozesse ist die Einklemmung des motorischen Segments der Wirbelsäule in der Schale.
Osteochondrose ist eine Multispezies-Krankheit. Es gibt Osteochondrosen im zervikalen, thorakalen und lumbosakralen Bereich sowie eine häufige Form der Osteochondrose. Osteochondrose des Kniegelenks kommt in der medizinischen Praxis immer häufiger vor.
Gründe für die Entwicklung einer Osteochondrose.
Die Gründe für die Entstehung dieser Krankheit sind zahlreich und nicht immer leicht zu ermitteln. Menschen neigen zur Entwicklung einer Osteochondrose aufgrund der heute weit verbreiteten sitzenden Lebensweise, Übergewicht, schlechten Gewohnheiten (insbesondere Rauchen), schlechter Ernährung, Plattfüße, intensiver körperlicher Aktivität und schlechter Körperhaltung. Eine Verletzung der Wirbelsäule kann zum Auftreten einer Osteochondrose beitragen und auch aufgrund einer genetischen Veranlagung entstehen. Stoffwechselstörungen, Infektionen, angeborene Anomalien und altersbedingte Veränderungen sind häufige Ursachen für die Entstehung dieser Krankheit. Eine interessante Tatsache ist der Zusammenhang zwischen der Entstehung von Osteochondrose und Vibrationen. Dies betrifft direkt Fahrer von Landmaschinen oder Maschinenbediener.
Für die heutige Osteochondrose gibt es keine großen Altersbeschränkungen: Sie kommt sowohl bei älteren als auch bei jungen Menschen vor. Es gibt die Meinung, dass die Entwicklung einer Osteochondrose mit Salzablagerungen zusammenhängt, aber das ist nicht ganz fair. Salzablagerungen sind eher eine Folge einer Osteochondrose. Die Schmerzursache bei Osteochondrose ist meist eine Reizung der Nervenwurzeln, die in der Medizin als Irritation bezeichnet wird. Gefäßerkrankungen vor dem Hintergrund einer Osteochondrose entstehen aufgrund einer Verletzung der Innervation des vasomotorischen Systems.
Symptome einer Osteochondrose

Das offensichtlichste Symptom einer Osteochondrose sind Schmerzen und Unwohlsein. Der Schmerz ist nicht immer konstant; Es kann sich von Zeit zu Zeit verschlimmern und dann verschwinden. Diese Symptome gehen meist mit einem Taubheitsgefühl in den Extremitäten einher. In den meisten Fällen strahlen die Schmerzen auf die linke Körperseite aus. Wenn Sie Symptome dieser Krankheit bei sich bemerken, beeilen Sie sich und konsultieren Sie einen Spezialisten: einen Therapeuten oder einen Neurologen. Die frühzeitige Erkennung einer Osteochondrose wird die Wirksamkeit ihrer Behandlung verbessern.
Bei Osteochondrose klagen Patienten häufig über erhöhte Müdigkeit. Ein interessantes Merkmal, dessen Zusammenhang mit dieser Krankheit auf den ersten Blick nicht klar ist, istdie Kälte der Extremitäten. Kopfschmerzen und Schwindelgefühl gehen häufig mit einer Osteochondrose einher. Ein charakteristisches Merkmal der Krankheit ist auch eine starke Ermüdung der Augen und sogar eine Verschlechterung des Sehvermögens. Bei einer Osteochondrose der lumbosakralen Region können bei Patienten Probleme mit dem Fortpflanzungssystem auftreten. Für Frauen ist es wichtig zu wissen, dass Osteochondrose den normalen Schwangerschaftsverlauf und die Empfängnis selbst beeinträchtigen kann. Jede Art von Osteochondrose hat ihre eigenen charakteristischen Anzeichen. So werden beim zervikalen Typ der Erkrankung Anzeichen in Form von Kopfschmerzen (insbesondere beim Bewegen des Kopfes), Schwindel beim Drehen des Kopfes, eingeschränkter Empfindlichkeit des betroffenen Bereichs, Schmerzen im Nacken, Schulterblatt, Armen und Brust beobachtet. Ein interessantes und nicht besonders angenehmes Symptom der zervikalen Osteochondrose ist die eingeschränkte Beweglichkeit der Zunge. Der thorakale Typ der Osteochondrose ist selten und zeichnet sich durch Brustschmerzen, insbesondere beim Atmen, aus. Der Schmerz kann in den Magen, das Herz und die Leber ausstrahlen. Auch dieser Typ ist durch Taubheitsgefühle gekennzeichnet, allerdings nur im Brustbereich. Bei einer lumbosakralen Pathologie klagen Patienten häufig über Schmerzen, die in die Beine ausstrahlen. Ein weiteres Symptom dieser Art von Osteochondrose ist eine Parese der unteren Extremitäten.
Methoden zur Diagnose von Osteochondrose.

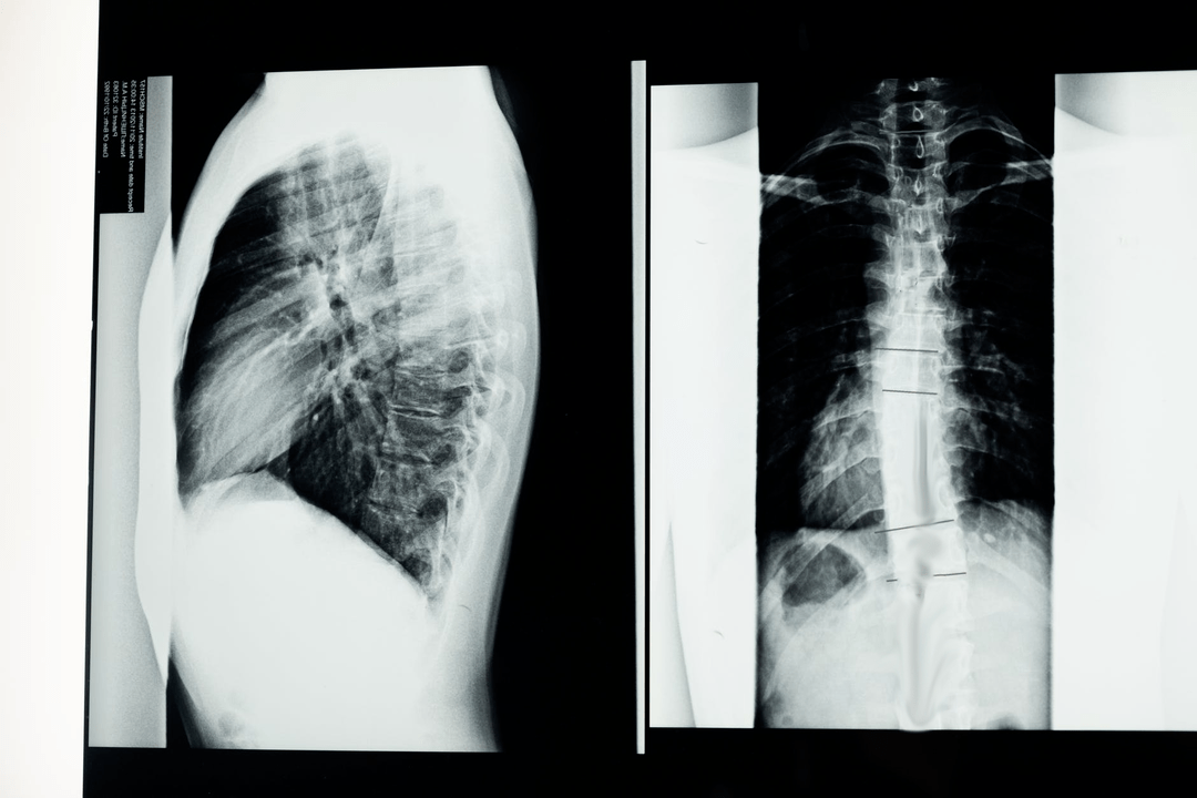
Vor Beginn diagnostischer Untersuchungen erhebt der Neurologe die Krankengeschichte des Patienten und untersucht sorgfältig seine Beschwerden. Osteochondrose weist bei einigen anderen Krankheiten gemeinsame Symptome auf, daher ist es wichtig, Pathologien unterscheiden zu können. Röntgenuntersuchungen helfen, die Diagnose einer Osteochondrose zu bestätigen: Radiographie, Myelographie und Computertomographie.
Mit einer Untersuchungsröntgenaufnahme können Sie ein Röntgenbild der Wirbelsäule oder eines Abschnitts davon anfertigen. Auf diese Weise kann der Arzt den von der Erkrankung betroffenen Ort bestimmen. Zur Verdeutlichung erklären wir Ihnen, wie eine Osteochondrose mittels Röntgen festgestellt werden kann: Das Bild zeigt eine Verengung der Bandscheibe, das Vorhandensein von Knochenwucherungen (Osteophyten) oder eine Formveränderung des Wirbelsäulensegments.
Die myelographische Untersuchung ist komplexer als die radiologische Untersuchung. Dies ist auf bestimmte Manipulationen zurückzuführen, die Ärzte während der Myelographie durchführen müssen: Kontrastmittel wird in den Rückenmarkskanal injiziert. Dies kann eine Gefahr für den Patienten darstellen: Erstens kann es zu einer allergischen Reaktion auf die injizierte Substanz kommen, zweitens kann es bei erfolgloser Punktion zu einer Schädigung des Rückenmarks kommen. Dennoch ermöglicht eine korrekt durchgeführte Myelographie den Spezialisten, die innere Struktur des Rückenmarkskanals zu beobachten. Diese Methode ist besonders wichtig für die Diagnose eines Wirbelsäulenbruchs.
CT (Computertomographie) und MRT (Magnetresonanztomographie) sind die effektivsten und modernsten Methoden zur Unterscheidung von Osteochondrose und Erkrankungen der Wirbelsäule mit ähnlichen Symptomen.
Behandlung von Osteochondrose

Die Behandlung der Osteochondrose wird umfassend durchgeführt. Diese Therapie dient der Beseitigung des Hauptsyndroms und der Krankheitsursachen. Zur Bekämpfung der Osteochondrose setzen Ärzte Akupunktur, Vakuumbehandlung, manuelle Therapie, Laserbehandlung, Traktion, elektrische Stimulation sowie pharmakologische und magnetische Punktion ein. Die Hauptaufgabe für eine wirksame Behandlung ist die rechtzeitige Erkennung der Krankheit. Menschen, die mit dieser schweren Krankheit konfrontiert sind, sind besorgt über die Hauptfrage: Ist es möglich, Osteochondrose zu heilen? Die Antwort hängt von der Form und dem Grad der Osteochondrose ab. Wenn die Behandlung der Krankheit im ersten Stadium begonnen wird, können Sie die Osteochondrose für immer loswerden.
Zur Behandlung der Osteochondrose wenden Ärzte medikamentöse und nicht-medikamentöse Methoden an. Unter den Medikamenten, die zur Behandlung von Osteochondrose eingesetzt werden, ist Folgendes hervorzuheben:
- Nichtsteroidale entzündungshemmende Medikamente. Sie helfen, Schmerzen und Entzündungen zu beseitigen. NSAIDs können zur topischen Anwendung in Form von Salben und Gelen verschrieben werden.
- Novocain blockiert. Sie gehen effektiv mit Schmerzen um.
- Steroid-Medikamente. Sie werden in Form von epiduralen und intramuskulären Injektionen verschrieben.
- Muskelrelaxantien. Diese Mittel helfen dem Patienten, Muskelkrämpfe zu bekämpfen.
- Vitamine B1, B6 und B12. Sie tragen dazu bei, die für die Gesundheit der Wirbelsäule notwendigen Stoffwechselprozesse zu verbessern.
Beispiele für nicht-pharmakologische Behandlungen sind vielfältig, interessant und angenehm. Folgendes hilft Ihnen, die Manifestationen der Osteochondrose ohne Medikamente zu bewältigen:
- Bewegungstherapie;
- Physiotherapie;
- Massage;
- manuelle Therapie;
- Traktion;
- Reflexzonenmassage.
Schauen wir uns diese Behandlungsmethoden genauer an. Bei der Physiotherapie bei Osteochondrose handelt es sich um eine Auswahl körperlicher Übungen zur Beseitigung der Kompression der Nervenwurzeln, zur Korrektur der Körperhaltung und zur Stärkung des Muskelkorsetts. Bewegungstherapie hilft, die Entwicklung von Komplikationen einer Osteochondrose zu verhindern. Diese körperliche Aktivität trägt dazu bei, die Belastung direkt auf die Wirbelsäule zu reduzieren und verbessert zudem deren Durchblutung.
Patienten mit Osteochondrose werden physiotherapeutische Verfahren verschrieben, um Schmerzen und Entzündungen zu beseitigen. Elektrophorese, Ultraschall, Laser- und Magnetbehandlung wirken in diesem Bereich effektiv. Durch die Massage wird die Durchblutung angeregt und Muskelverspannungen gelöst. Nicht nur die therapeutische Massage hilft, Schmerzen zu beseitigen, sondern auch die manuelle Therapie. Darüber hinaus trägt es dazu bei, die Beweglichkeit der Wirbel wiederherzustellen und die Körperhaltung zu korrigieren.

Traktion...was ist das? Unter diesem auf den ersten Blick unverständlichen Wort verbirgt sich eine einfache Bedeutung: „Erweiterung“. Der Wunsch, die Wirbelsäule zu dehnen, ist wohl allen Menschen bekannt, die an Osteochondrose leiden. In der heutigen Medizin gibt es spezielle Geräte, die dies ermöglichen. Mit diesem Verfahren können Sie Schmerzen beseitigen und den Zwischenwirbelraum vergrößern.
Eine weitere interessante Methode zur nichtmedikamentösen Behandlung der Osteochondrose ist die Reflexzonenmassage. Sie ist eng mit der Akupunktur verwandt, da sie die Beeinflussung reflexogener Punkte im menschlichen Körper beinhaltet.
Das beste Heilmittel gegen Osteochondrose.
Ein ideales Mittel gegen Osteochondrose sollte Schmerzen und Entzündungen beseitigen, die Durchblutung verbessern, die Beweglichkeit von Knorpel und Gelenken wiederherstellen und auch Depressionen beim Patienten reduzieren. Ein ausgewählter Medikamentenkomplex meistert all diese Aufgaben. In diesem Teil des Artikels werden wir alle diese Medikamente im Detail analysieren.
Nichtsteroidale entzündungshemmende Medikamente oder NSAIDs gegen Osteochondrose

NSAIDs helfen einem Patienten mit Osteochondrose, Schmerzen, Entzündungen und Schwellungen zu überwinden. Diese Medikamente können sowohl zur lokalen äußerlichen Anwendung in Form von Salben und Gelen als auch zur inneren Anwendung in Form von Tabletten und Injektionslösungen hergestellt werden. Nichtsteroidale Entzündungshemmer können aus verschiedenen Gruppen stammen:
- Eine Gruppe von Arzneimitteln mit dem Wirkstoff Diclofenac. Diese Medikamente verstärken die schmerzstillende Wirkung anderer Schmerzmittel und reduzieren Entzündungen. Der Nachteil dieser Gruppe ist die Unmöglichkeit ihrer Anwendung während der Schwangerschaft und Stillzeit.
- Im Gegensatz zu den oben genannten Medikamenten sind Medikamente aus der Ibuprofen-Gruppe für die Anwendung bei schwangeren und stillenden Frauen unter ärztlicher Aufsicht zugelassen. Die Substanz ist gut verträglich und kann daher Kindern verschrieben werden.
- Die Medikamentengruppe Ketoprofen hat eine beschleunigte analgetische Wirkung.
- Zu den NSAIDs der neuen Generation gehört die Nimesulid-Gruppe. Sie haben minimale Nebenwirkungen.
Vasodilatatoren bei Osteochondrose.
Eine Verengung der Blutgefäße bei Osteochondrose wird im Zusammenhang mit Schmerzen und Muskelverspannungen beobachtet. Dadurch kommt es in geschädigtem Gewebe zu Sauerstoffmangel und dadurch wird die Funktionalität der inneren Organe beeinträchtigt. Um solche Komplikationen zu vermeiden, verschreiben Ärzte ihren Patienten gefäßerweiternde Medikamente.
Muskelrelaxantien bei Osteochondrose.
Muskelrelaxantien entspannen die Muskulatur und wirken beruhigend. Dies wirkt sich positiv auf die Durchblutung aus und fördert die schmerzstillende Wirkung nichtsteroidaler entzündungshemmender Medikamente. Muskelrelaxantien tragen außerdem dazu bei, den Reparaturprozess von geschädigtem Gewebe zu beschleunigen.
Chondroprotektoren bei Osteochondrose.
Chondroprotektoren und Vitaminkomplexe helfen bei der Wiederherstellung des Knorpelgewebes. Unter Chondroprotektoren versteht man Wirkstoffe, die nicht nur das Knorpelgewebe, sondern auch die Beweglichkeit des Gelenks wiederherstellen. Zu dieser Gruppe gehören Arzneimittel, die auf Chondroitin und Glucosamin basieren.
Beruhigungsmittel gegen Osteochondrose.
Es scheint, warum sollte man bei der Behandlung von Osteochondrose Beruhigungsmittel einnehmen? Die Antwort ist nicht so kompliziert, wie Sie vielleicht denken: Ein Schmerzsyndrom, das einen Menschen über einen längeren Zeitraum verfolgt, kann leicht zu Depressionen und häufigem Stress führen. In den meisten Fällen reicht die Einnahme von Baldrian- oder Mutterkraut-Tinktur aus.
Der behandelnde Arzt muss Medikamente zur Behandlung einer so schweren Erkrankung wie Osteochondrose auswählen.
Korsett für Osteochondrose

Bei der komplexen Behandlung von Osteochondrose jeglicher Art halten Ärzte die Verwendung eines Korsetts für sinnvoll. Korsetts werden speziell für den Hals-, Brust- und Lendenbereich oder zur vollständigen Fixierung der Wirbelsäule separat angefertigt. Bei der Brustosteochondrose werden Korsetts aus einem speziellen elastischen Material mit Metall- oder Kunststoffschienen im Inneren verwendet. Bei lumbaler Osteochondrose werden Korsetts mit starren Quer- und Längseinsätzen aus Metall oder Kunststoff verwendet. Als Material zur Herstellung wird Klebeband oder Neopren verwendet. Ein Halskorsett wird Kragen genannt und ist starr. Korsetts, die die gesamte Wirbelsäule reparieren, werden auch Haltungskorrektoren genannt. Korsetts gibt es in weich, mittel und hart. Der Grad der Steifigkeit des Korsetts wird vom behandelnden Arzt individuell verordnet.
Das Tragen eines Korsetts bei Osteochondrose hilft, die Rückenmuskulatur zu stärken, Schmerzen zu lindern, die Körperhaltung zu verbessern, die Entwicklung von Komplikationen zu verhindern und die Genesung zu beschleunigen. Beim Tragen eines Korsetts gelten bestimmte Regeln. Patienten mit Osteochondrose sollten unbedingt einen Spezialisten bezüglich der Wahl und Notwendigkeit des Tragens eines Korsetts konsultieren. Beim ersten Mal wird das Korsett nicht länger als 15 Minuten angelegt und darf dann nicht länger als 6 Stunden am Tag getragen werden.
Prävention von Osteochondrose
Prävention ist von großer Bedeutung, um die Gesundheit der Wirbelsäule zu erhalten und eine Verschlimmerung der Osteochondrose zu verhindern. Zur Vorbeugung ist es notwendig, einen gesunden und aktiven Lebensstil zu führen, Sport zu treiben und etwaiges Übergewicht zu bekämpfen. Auch Stress und Nervenschock können die Entstehung einer Osteochondrose hervorrufen. Daher ist es wichtig, Ihre mentale Stabilität zu kontrollieren und Stresssituationen zu vermeiden. Einmal erlittene Verletzungen können sich schließlich negativ auswirken, daher ist es notwendig, sie von Kindesbeinen an zu vermeiden. Von besonderer Bedeutung ist die richtige Ernährung bei Osteochondrose und deren Vorbeugung.
Diät gegen Osteochondrose

Einige Experten sprechen von der wichtigen Rolle der Ernährung für die Gesundheit der Wirbelsäule. Die von einer Person konsumierten Produkte müssen Substanzen enthalten, die Knorpelgewebe synthetisieren. Die Rede ist von Mucopolysacchariden, die in Gelatine, geliertem Fleisch und Gelatine enthalten sind. Es ist wichtig, auf eine ausreichende Flüssigkeitsaufnahme zu achten, da Flüssigkeitsmangel zu einer Austrocknung der Bandscheiben führt. Proteine sind in einer normalen Ernährung und insbesondere bei Osteochondrose nützlich. Diese Stoffe können aus Fleisch, Nüssen, Fisch, Bohnen und Auberginen gewonnen werden.
Mineralien und Vitamine stärken das Knochengewebe. So können wir Kalzium aus Hartkäse, Milchprodukten, Bohnen und Salat gewinnen. Es ist wichtig zu bedenken, dass Vitamin D, das in Eiern, Butter und Seefisch enthalten ist, für die Aufnahme von Kalzium notwendig ist. Magnesium trägt dazu bei, Kalzium im Knochengewebe zu halten und verhindert, dass es aus dem Körper ausgeschieden wird. Magnesium kann durch den Verzehr von Gurken, Walnüssen und Sonnenblumenkernen gewonnen werden. Viele Menschen wissen um den Phosphorgehalt in Fisch, aber dass dieses Element auch in der Zusammensetzung von Erbsen, Sojabohnen, Kleie und Weißkohl enthalten ist, ist eine weniger bekannte Tatsache. Zu den Manganquellen gehören Hühnerfleisch, Eigelb, Hüttenkäse, Kartoffelschalen und Bananen.
Unter den Vitaminen ist die besondere Rolle der Gruppen A, B und C hervorzuheben. Vitamin-A-Quellen sind rohe Eier, Leber, Karotten und Melone. Schweinefleisch, Rindfleisch, Meeresfrüchte, Pilze und Getreide enthalten Vitamin B. Ascorbinsäure, die wir aus der Kindheit kennen, kommt in frischem Obst und Gemüse vor.
Wenn wir uns also die Produkte ansehen, die in der Ernährung gegen Osteochondrose oder zu deren Vorbeugung enthalten sind, werden wir feststellen, dass wir aus dieser Liste ein Menü mit sehr leckeren und abwechslungsreichen Gerichten zusammenstellen können.
Schauen wir uns nun die verbotenen Produkte an. Die schwarze Liste der Produkte gegen Osteochondrose umfasst: Salz, Gurken und Marinaden, scharfe Gewürze, verarbeitete Lebensmittel, Zucker (kann durch Honig ersetzt werden), Limonade und Kaffee.
Komplikationen der Osteochondrose

Osteochondrose kann bei unsachgemäßer Behandlung zu einer Behinderung des Patienten führen. Zu den Komplikationen dieser Pathologie gehören:
- Stenose des Rückenmarks aufgrund einer Verengung seines Kanals. Dies führt zu Taubheitsgefühlen in den Extremitäten und Problemen beim Gehen.
- Eingeklemmte Spinalnerven.
- Bandscheibenvorfall und später Bandscheibenvorfall.
- Radikulitis.
- Hexenschuss und Ischias.
- Vegetativ-vaskuläre Dystonie.
- Schmorl-Hernie.
- Wirbelverschiebung.
- Migräne und Kopfschmerzen.
Bei einer Osteochondrose der Halswirbelsäule wird häufig ein Anstieg des Blutdrucks beobachtet.
Wenn Sie Beschwerden über die Gesundheit Ihrer Wirbelsäule haben, suchen Sie schnell einen Arzt auf, denn eine rechtzeitige Behandlung ist der Schlüssel zu einer erfolgreichen Genesung.



















